투명교정(Align Miracle)
투명교정(Align Miracle)?
다이렉트 3D프린팅 방식으로 제작하는 투명교정장치(DPA)
투명교정이란 교정용 장치와 철사 없이 투명한 플라스틱 틀을 이용하여 치아를 가지런히 하는 교정치료 방법입니다. 문치과에서 사용하는 Align Miracle은 기존 투명 교정 방식과 달리, 중간 단계 모델 제작 및 진공 성형 과정을 생략하고 3D 프린팅으로 투명 교정 장치를 **다이렉트 방식**으로 제작하는 혁신적인 기술입니다.
30년 이상의 임상과 미국 FDA 및 한국 식약처(KFDA) 인증을 받은 장치로 문치과는 정확하고 안전한 치료를 제공합니다.
왜 문치과의 AlignMiracle일까요?
AlignMiracle 은 단순한 투명교정이 아닙니다.
AlignMiracle는 기존 투명교정장치와 달리 3D 프린팅 방식으로 치아 모델 제작 없이
바로 교정장치를 출력하기 때문에 자원과 비용을 절감하고 정밀한 쉘 디자인을 구축합니다.
문치과는 환자분의 아름다운 미소와 건강한 구강 기능 향상을 위해 노력합니다.
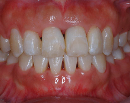
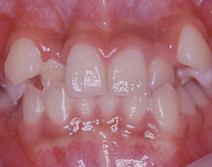
치아교정치료, 이럴 때 필요합니다.
치아가 삐뚤삐뚤한 경우
송곳니가 덧니인 경우
치아 사이가 벌어진 경우
앞니끼리 닿지 않고 벌어진 경우
위 앞니가 아래 앞니를 많이 덮는 경우
치아가 앞으로 뻗고 입이 돌출된 경우
위 앞니가 아래 앞니보다 많이 튀어나온 경우
아래 앞니가 위 앞니보다 앞으로 나온경우
기존 투명교정장치와 AlignMiracle은 이렇게 다릅니다.
| 일반 투명교정장치 | AlignMiracle | |
|---|---|---|
![]() |
![]() |
|
| 열가소성 폴리우레탄·PETG 필름 등 | 소재 | 3D레진 개발 전문 ODS의 3D 프린팅용 특수 레진 (투명도↑, 유연성↑) |
| 모델 위에 시트를 베큠포밍한 뒤 트리밍하는 복잡한 공정 | 제작과정 | 환자의 구강 데이터를 기반으로 Direct 3D Printing 방식으로 바로 출력 |
| 모형 출력 + 성형 + 트리밍 과정 필요 → 상대적으로 시간 소요 많음 |
제작 시간 | 모형 제작 생략 → 제작 속도 빠름 (약 1~2일 단축) |
| 시트지 방식과 일정치 못한 두께로 부족한 하방 밀착력 |
치아밀착도 | 3D 방식으로 높은 치아밀착도와 자유로운 두께 조절 기술로 부위별 교정력 컨트롤 가능 |
| 일반적인 경·중등도 교정에 적합 | 적용 가능 케이스 | 기존 방식보다 고난이도 교정 (회전·기울기·틈새 등)에도 적용 가능 |
Doctor Interview –
교정은 교정학의 깊은 이해를 통한 치료가 중요합니다.
문치과는 교정학 분야에서 오랜시간 연구와 임상을 병행하며 교정학 전문 저서를 집필하신 교정인정의 이효연 원장님께서 직접 치료를 진행합니다.
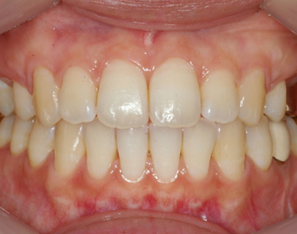
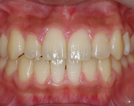
투명교정(Align Miracle) 치료과정
오시는 길 · 진료 안내
주소 서울시 서초구 서초대로 13 방배 마에스트로 지하상가 101호
찾아오시는 길 4 7 총신대입구(이수)역 4번 118m
(4번 출구에서 바로 보이는 마에스트로 빌딩 지하상가 101호 위치해 있습니다.)
진료 시간
일반·구강안면통증·수면치의학 진료
월화수금
: 오전 09:45 ~ 오후 06:30
토요일
: 오전 10:00 ~ 오후 04:00
점심시간
오후 01:00 ~ 오후 02:00
교정진료
수, 금
: 오후 02:00 ~ 오후 06:30
토요일
: 오전 10:00 ~ 오후 04:00
휴진일
목요일, 일요일, 공휴일
* 단, 그 주에 공휴일이 있는 경우
→ 목요일 정상진료
오시는 길 · 진료 안내
주소 서울시 서초구 서초대로 13 방배 마에스트로 지하상가 101호
찾아오시는 길 4 7 총신대입구(이수)역 4번 118m
(4번 출구에서 바로 보이는 마에스트로 빌딩 지하상가 101호 위치해 있습니다.)
진료 시간
일반·구강안면통증·수면치의학 진료
월화수금: 오전 09:45 ~ 오후 06:30
토요일: 오전 10:00 ~ 오후 04:00
교정진료
수, 금: 오후 02:00 ~ 오후 06:30
토요일: 오전 10:00 ~ 오후 04:00
점심시간
오후 01:00 ~ 오후 02:00
휴진일
목요일, 일요일, 공휴일
* 단, 그 주에 공휴일이 있는 경우
→ 목요일 정상진료



